2/4に株式会社 松風主催のセミナー『新時代を見据えた審美歯科の在り方』で
歯科医師、歯科技工士に向けて講演してきました。

講演後の質疑応答でも熱いディスカッションを交わす事が出来ました。


次回の国内での講演は福岡で行います。お近くの方は是非参加されて下さい😊

国内で講演する時はメーカーが主催の為、講演内容に制限が出る事があったり、低侵襲なアプローチの講演内容が多いのですが今回はインプラント治療やブリッジなどの症例も発表したいと思います^_^
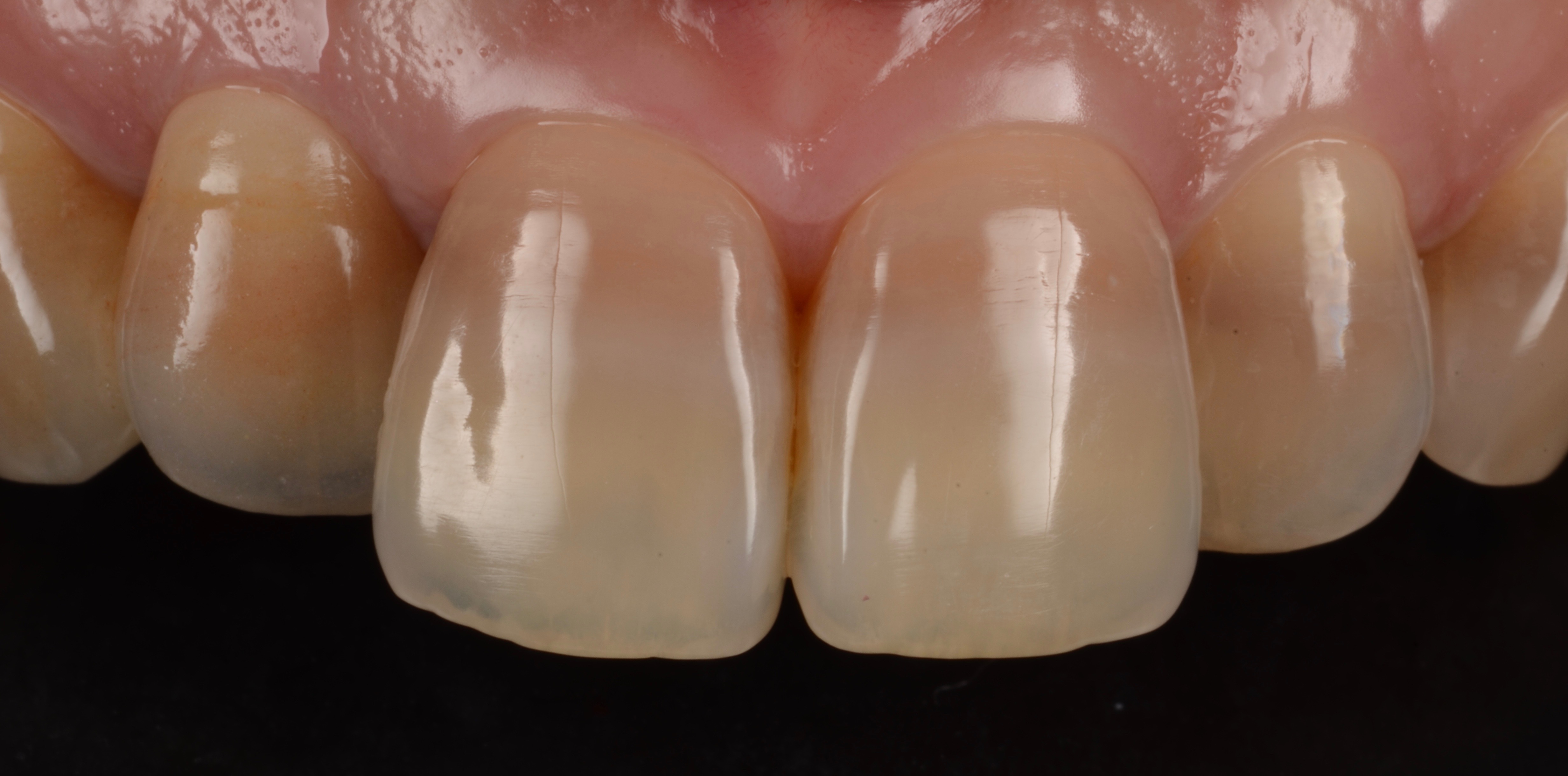
写真はブリッジの症例ですがニノデンタルオフィスでは、欠損=インプラント、インプラントの方がブリッジより成功率が高いなどというバイアスのかかったカウンセリングはしていません。(的確に行われたブリッジはインプラント治療の成功率と遜色ない)
もちろんインプラント治療でもどこにインプラントが入っているかわからないくらい綺麗な治療も可能です。
その患者さん自身に一番有益な治療法を科学的な根拠にのっとてカウンセリングを行なっておりますので、すぐにインプラント治療に誘導するようなことはしていません。



歯を失った方、インプラントでお悩みの方、自然な見た目の修復物をお望みの方は
ニノデンタルオフィスまで🤗

